Home > Immediate Dental Implants
Immediate Dental Implants
Get Your Free Dental Implant Pricing Guide-Dental Implants Cost Revealed
Complete the form , and we’ll send you the dental implants cost guide along with a complimentary coupon for a 3D dental digital scan (valued at $350 in savings)
In the dynamic field of tooth replacement, immediate dental implants represent a remarkable leap forward. These state-of-the-art solutions have revolutionized the way we approach smile rejuvenation. Not only do they provide a natural appearance and unparalleled comfort, but they also excel in expediency. In contrast to the conventional implant procedures, which often involve prolonged waiting periods, immediate dental implants streamline the process, allowing for same-day restoration.
This innovative approach not only delivers the stability of fixed teeth but also significantly bolsters both confidence and function. With our seasoned expertise, we’ve had the privilege of transforming numerous lives by seamlessly integrating these implants to create a permanent, radiant smile.
Bid farewell to the delays and uncertainties of traditional implant methods and warmly embrace the liberating world of immediate dental implants at BRIGHT SMILE DENTAL Office.
Implant Pricing Guide Request
Immediate Placement and Loading of Dental Implants: A Revolution in Smile Transformation
Welcome to Bright Smile Dental Office, where we specialize in the groundbreaking field of immediate placement and loading of dental implants. Our dedicated team of implant dentists is committed to delivering the highest standard of care. Discover the compelling scientific reasons why same-day dental implants offer superior benefits for patients.
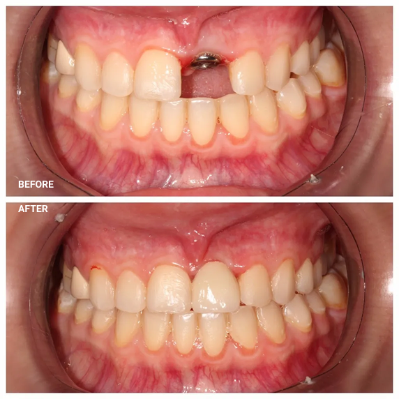
Immediate Dental Implant
Front tooth was extracted due to the root fracture, Immediate Dental implant (immediate placement and immediate loading) was done and less than 3 hours patient had her smile fixed!
One Surgery, Quick Results
Immediate dental implants, also known as immediate loading implants, have revolutionized dental procedures. As a result, with this approach, patients benefit from just one surgery, often completed in a single day or within a few days. This stands in stark contrast to conventional techniques that can span months or even years.
Superior Cosmetic Results
Time and Cost Savings
No Need for Temporary Solutions
Your Journey to a Rapid Smile Transformation
Consultation
Schedule a consultation with our experienced implant dentists to determine if immediate loading implants are the right choice for your specific case.
Treatment Day
On the day of your appointment, we’ll perform the extraction or implant placement and load your new teeth, all in a single appointment. (For the bigger cases, which involve complicated restorations, we may bring you back in a few days to cement this restoration)
Follow-Up Care
We’ll provide you with post-treatment care instructions and schedule follow-up appointments (if needed) to ensure your smile transformation progresses smoothly.
Choose Excellence in Immediate Dental Implants
At Bright Smile Dental Office, we are committed to staying at the forefront of dental science and technology. Our dedication to scientific advancements ensures your comfort, safety, and satisfaction throughout the immediate placement and loading process.
