Home > Cosmetic Dentistry
Cosmetic Dentistry
Cosmetic Dentistry
Cosmetic dentistry is a specialized branch of dentistry that focuses on improving the appearance of a person’s teeth, gums, and overall smile. While traditional dentistry primarily addresses oral health issues, cosmetic dentistry goes beyond that by enhancing the aesthetic aspects of a person’s smile. It involves various procedures and treatments aimed at achieving a more attractive and confident smile. Here’s an overview of what cosmetic dentistry entails and why it’s important for enhancing smiles and boosting confidence:
Procedures and Treatments in Cosmetic Dentistry:
Teeth Whitening
This is one of the most popular cosmetic procedures. It involves using bleaching agents to remove stains and discoloration from teeth, resulting in a brighter and whiter smile. In- office whitening system is a revolutionary tooth whitening procedure utilizing a light activated special gel with a full arch (upper and lower) bleaching lamp (it’s a bleaching lamp that provides power of assistance). … In just 90 minutes your teeth can be dramatically whiter.
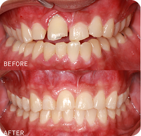
Dental Veneers
Veneers are thin, custom-made shells that are bonded to the front surface of teeth. They can correct various issues like chipped teeth, gaps, and misshapen teeth, providing a natural-looking and uniform smile. The veneers never stain or discolor; they are elegant and translucent allowing them to be as natural as possible as a real tooth and the cosmetic results are instant gratification. Veneers could be used as a two-visit alternative to a year or more orthodontic treatment- Instant Makeover. Veneering your teeth is a very conservative approach in drastically altering your smile with more tooth preservation than a conventional crown; usually, requiring only a ½ mm reduction of your tooth or no preparation at all, and a common procedure used in cosmetic dentistry.
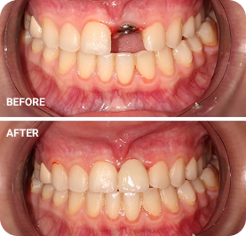
Dental Crowns and Bridges
Crowns are caps that cover a damaged tooth, restoring its shape, size, and strength. They can also improve the appearance of a tooth, especially in cases of severe discoloration or misshapen teeth. A bridge offers a lasting remedy for a lost tooth, involving the placement of crowns on neighboring teeth adjacent to the gap and connecting them with an artificial tooth (pontic). Contemporary advancements enable the utilization of diverse methods and substances in crafting dental crowns and bridges. This encompasses metal-free alternatives, resulting in remarkable aesthetic outcomes. Through present-day technologies, it’s achievable to create crowns and bridges in just one appointment, facilitated by CAD-CAM technology.
Invisalign Treatment
Invisalign aligners are used to correct misaligned teeth and bite issues. A straighter smile not only looks better but also promotes better oral health. Invisalign treatment offers a modern way to straighten teeth without noticeable braces. You wear a series of clear, comfortable aligners that gently shift your teeth into place. These aligners are removable, making eating and oral care easy. In a few months to a couple of years, depending on your case, you’ll have a straighter smile you can proudly show off.
Gum Contouring
Gum contouring is a cosmetic procedure that can change the shape of your gums. A dentist can use this procedure to cut away excessive gum tissue that is giving you a “gummy” smile or to restore gum tissue that has receded and is now exposing too much of your teeth.
Dental Implants
While primarily functional, dental implants can also have cosmetic benefits. They replace missing teeth and provide a support for natural-looking and functional crown.
Composite Fillings and Dental Bonding
Composite fillings and dental bonding are two cosmetic dental procedures that enhance the appearance and functionality of teeth. Composite fillings, also called tooth-colored fillings, repair cavities and minor damage using a blend of plastic and glass materials matched to your tooth color. Similarly, dental bonding involves applying tooth-colored resin to address issues like chips, cracks, or discoloration. Both procedures seamlessly blend with natural teeth, offering aesthetic results and improved smiles. Fillings restore tooth structure, while dental bonding reshapes teeth, making them great options for achieving a more appealing and functional smile.
Importance for Enhancing Smiles and Boosting Confidence
Improved Appearance
Aesthetic concerns with teeth can have a significant impact on a person’s self-esteem and confidence. Cosmetic dentistry addresses these concerns, helping individuals achieve the smile they’ve always wanted.
Enhanced Self-Confidence
When individuals feel good about their smiles, they tend to feel more confident in various social and professional situations. This boost in self-confidence can positively affect overall quality of life.
Positive First Impressions
A bright and attractive smile can create a positive first impression. Whether in job interviews, meetings, or social gatherings, a confident smile can leave a lasting and favorable impact.
Emotional Well-Being
The relationship between appearance and emotional well-being is well-documented. Cosmetic dentistry can contribute to improved emotional health and a more positive outlook on life.
Personal and Professional Opportunities
Confidence gained from an improved smile can lead to seizing more opportunities in both personal and professional realms.
Better Oral Hygiene
Many cosmetic procedures also improve oral health. Straighter teeth are easier to clean, and addressing issues like gaps can reduce the risk of gum problems.
