Home > Smile Makeover
Our Smile Makeover Gallery
Transform Your Smile with the Best Dentist Near You
Welcome to Bright Smile Dental Office, where the art of a Aesthetic Dental Makeover comes to life. Our Smile Makeover Gallery showcases the incredible transformations achieved by our expert team, recognized as the best dentist near you. Explore these before-and-after images to witness the magic of smile enhancement.
Visit Our Other Galleries
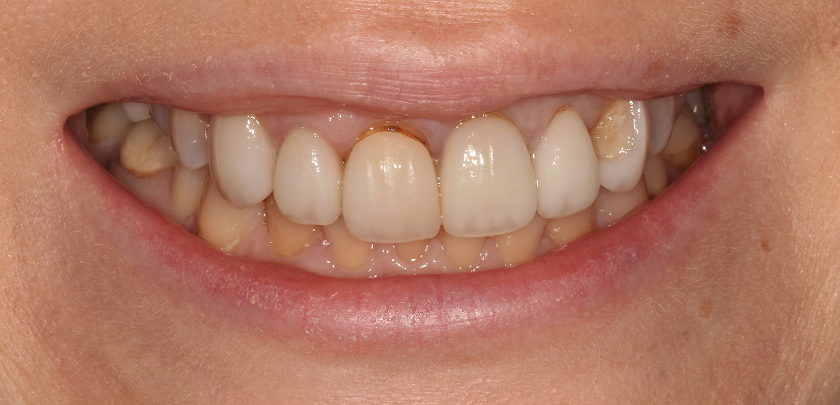
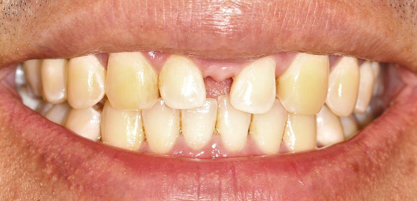
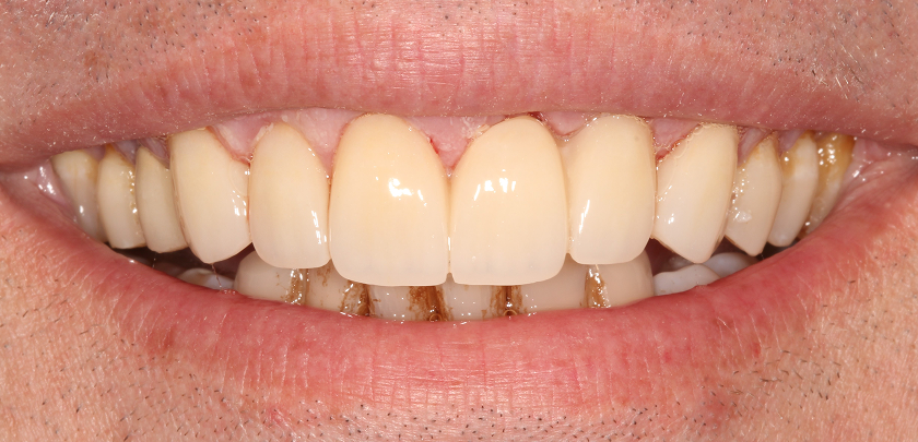
Patient had a congenital missing tooth and gaps between teeth. The solution involved a combination of metal-free bridging and porcelain veneers, resulting in a transformative before-and-after change.
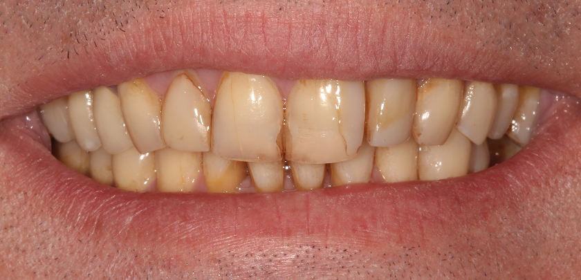
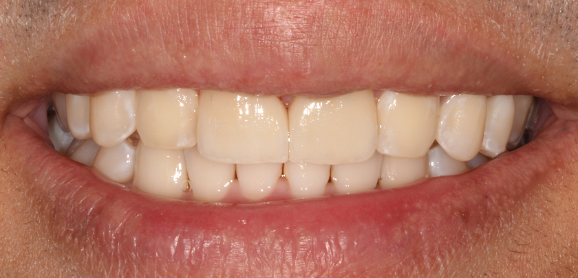
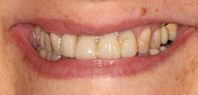
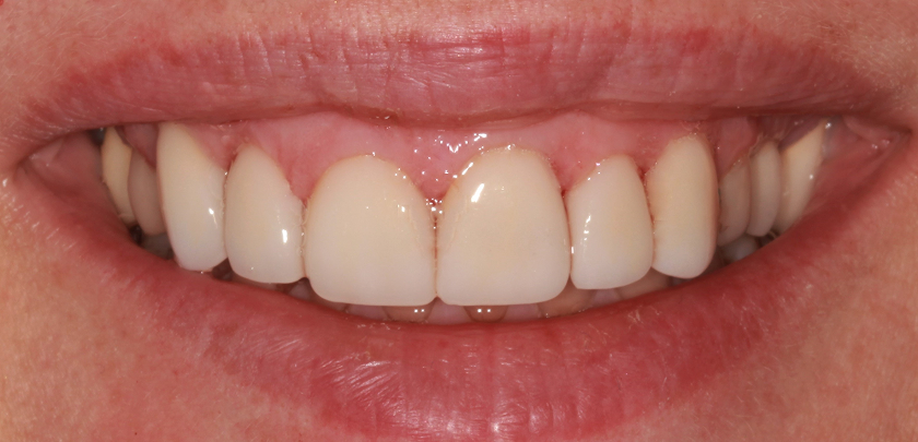
Patient presented with two missing teeth, accompanied by teeth misalignment and noticeable gaps. The treatment consisted of a comprehensive upper restoration involving the placement of crowns and a bridge, leading to a remarkable transformation in the before-and-after appearance
Unlock Your Perfect Smile with a Smile Makeover
Welcome to Bright Smile Dental Office, your destination for a radiant smile. Explore our Gallery to witness the incredible transformations accomplished with dental veneers and laminates. We are deeply committed to delivering dental excellence and patient satisfaction, evident in every before-and-after image featured below
Why Choose a Smile Makeover?
Dental veneers, also known as laminates, are ultra-thin shells meticulously crafted from premium materials. These custom veneers expertly fit over your teeth’s front surfaces. Therefore, they effectively address a wide range of cosmetic concerns. Because of that, whether you face discoloration, chips, gaps, misalignment, or worn enamel, veneers provide a versatile, highly effective solution.
Our experienced dental team, led by Dr. Vadim Khrakovsky and Dr. Vera Khrakovsky, specializes in creating veneers that not only enhance your smile but also authentically replicate the natural look of your teeth. We understand that each smile is unique, and our approach is thoughtfully tailored to ensure your veneers seamlessly harmonize with your distinctive facial features and preferences.
The Best Dentist for Your Smile Transformation
Our reputation as the best dentist near you is built on a foundation of expertise and artistry. We combine precision with the latest dental techniques and technologies to create stunning results. Your journey begins with a consultation where we’ll discuss your vision, conduct a thorough examination, and outline a customized smile makeover plan.
Experience the Bright Smile Difference
As you explore our Smile Rejuvenation Gallery, you’ll witness the life-changing power of a Smile Makeover . Each photo tells a story of renewed confidence, enhanced aesthetics, and improved oral health. If you’re ready to embark on your own smile transformation journey, we invite you to schedule a consultation with our friendly team.
Bright Smile Dental Office is not just about creating smiles; we’re about creating happiness and confidence that radiate from within. Explore our gallery and take the first step toward your perfect smile.
