Home > Invisalign Treatment-Before and After Gallery
Invisalign Treatment-Before and After Gallery
Bright Smile Dental Office: Brooklyn's Premier Destination for Invisalign Treatments and Before-and-After Transformations
Dr. Vera Khrakovsky: Brooklyn's Leading Specialist in Invisalign Treatment
At the forefront of our cosmetic dentistry success is Dr. Vera Khrakovsky. An alumna of NYU College of Dentistry, Dr. Vera has dedicated her professional journey to elevating the lives of her patients through top-tier dental care. In fact, her vast knowledge in general dentistry, paired with her meticulous attention to detail, positions her as a sought-after expert in the realm of clear aligner treatments.
Brooklyn's Pioneers in Cosmetic Dentistry:
Tailored Treatment Plans:
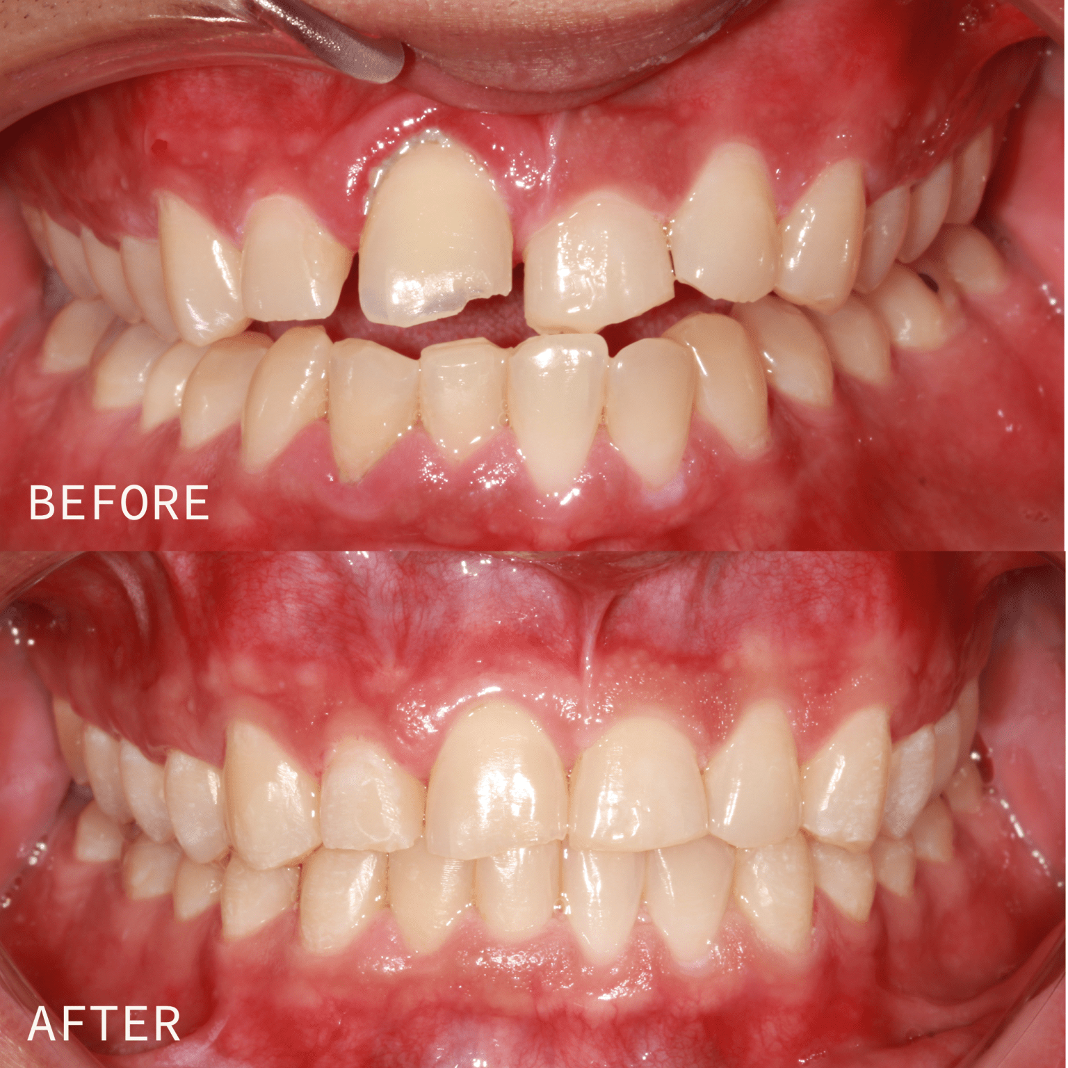
At Bright Smile Dental Office, every smile tells a story. Consequently our Clear Aligner Therapy treatments are customized to narrate your unique story, ensuring results that resonate with your aspirations.
Strategically Located in Brooklyn
On the lookout for “Invisalign near me” or “Invisalign Before and After” in Brooklyn? Your quest concludes with us! Centrally positioned in Brooklyn, NY, we are your ultimate dental sanctuary.
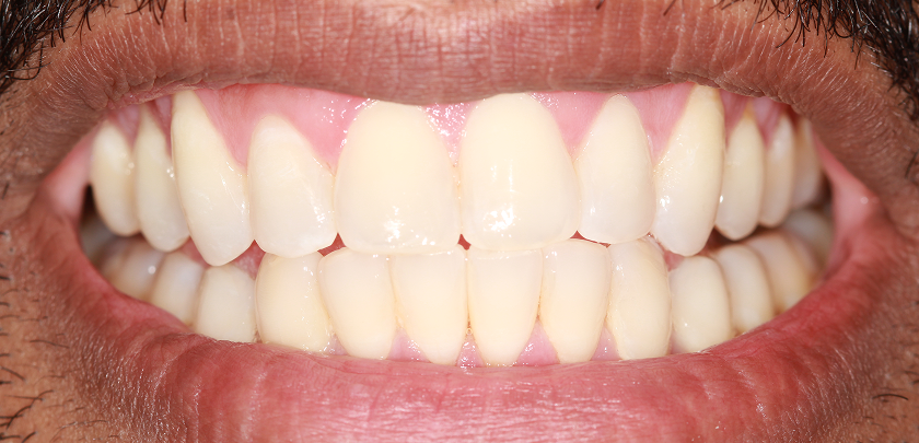
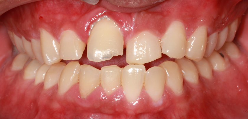
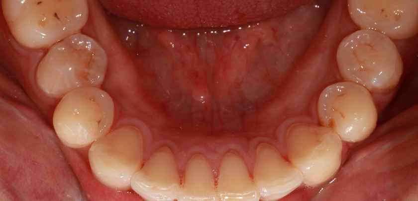
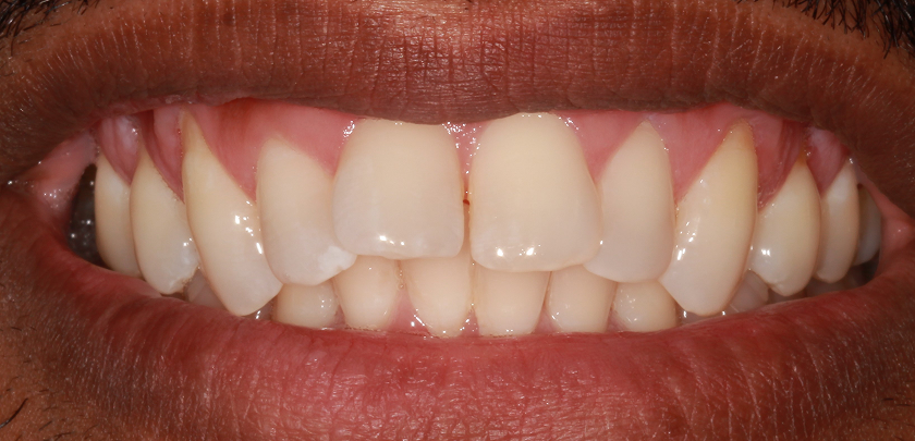
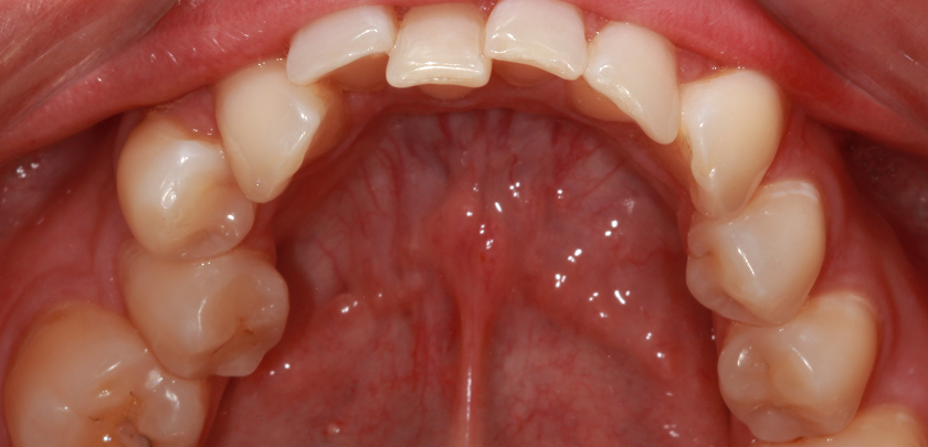
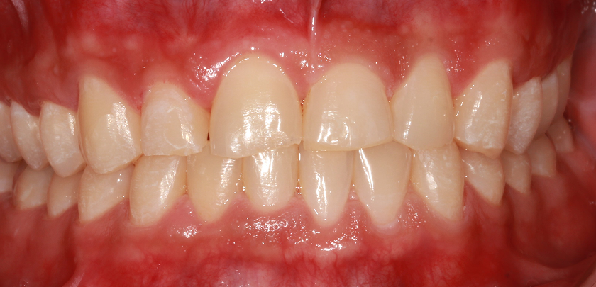
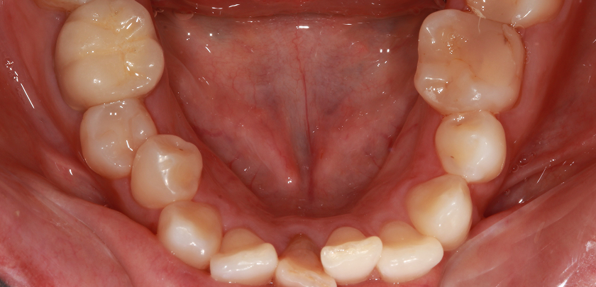
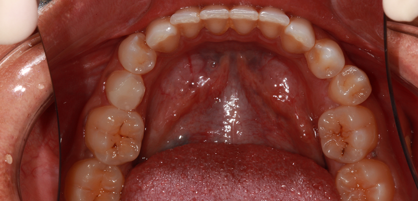
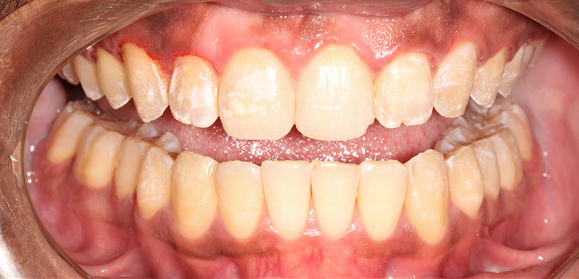
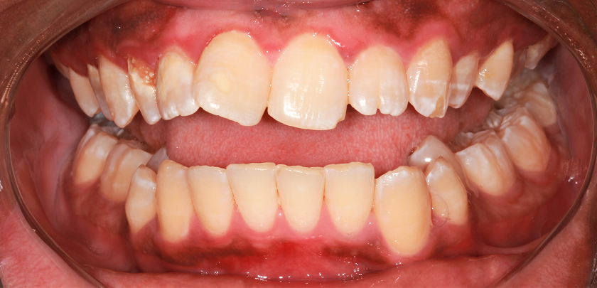
Invisalign Before and After: A Journey of Transformation
Our Invisalign gallery is a testament to the transformative prowess of this revolutionary treatment. From nuanced tweaks to comprehensive smile overhauls, our “Invisalign Before and After” showcases are a beacon of inspiration for all.
