Home > Veneers Gallery
Our Veneers Gallery
Welcome to our Gallery, showcasing the transformative power of dental veneers and laminates. At Bright Smile Dental Office, top-rated dentists in Brooklyn, we specialize in creating radiant smiles through customized veneer treatments. Explore our gallery below to witness the remarkable results achieved with dental veneers.
Visit Our Other Galleries
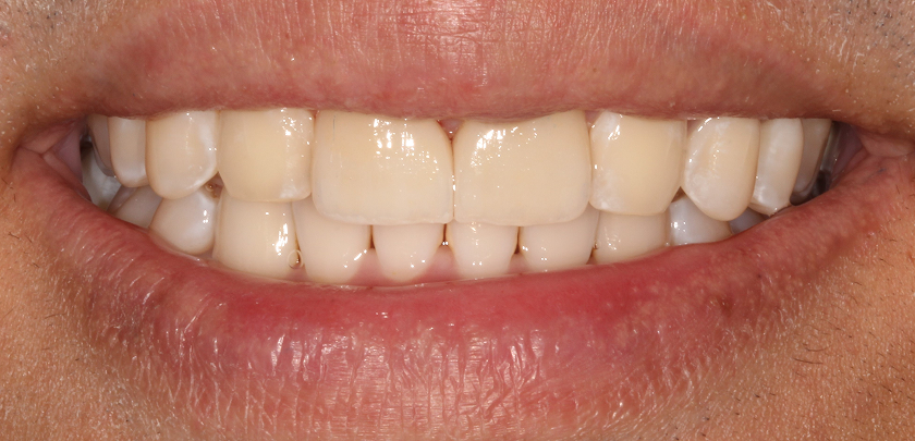
Beauty in simplicity! Ten non-prep veneers have effortlessly enhanced this smile, creating a naturally beautiful and radiant transformation. 😁🌟 #NonPrepVeneers #BeautifulSmile
A smile revolution! Ten non-prep veneers have completely changed the game, delivering a radiant, confident smile with minimal disruption. Witness the magic of veneers! 😁✨ #NonPrepVeneers #SmileTransformation
Seeking a beautiful and natural smile transformation.
The beauty of simplicity! Ten NoPrep veneers have artfully enhanced these teeth, resulting in a naturally beautiful smile that’s both radiant and confident.😁🌟 #NoPrepVeneers #NaturalBeauty
Witness the magic of dentistry! Ten veneers have worked wonders, turning this smile into an amazing and confident transformation. 😁✨ #SmileMakeover #VeneerMagic
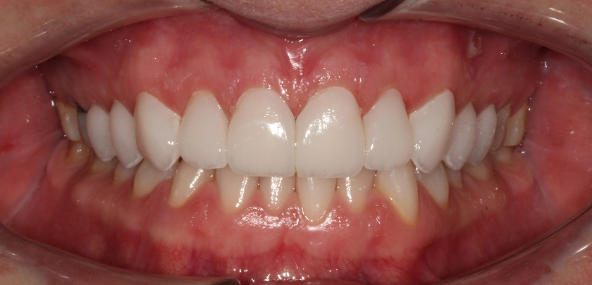
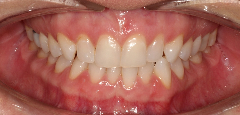
Upper teeth with noticeable defects impacting the smile. Absolute perfection! Ten premium lab veneers have flawlessly transformed this patient’s upper teeth, achieving a smile that’s both flawless and confident.😁🌟 #SmilePerfection #VeneersMakeover
Upper teeth shape and shade causing dissatisfaction. Pure elegance achieved! Ten premium labial veneers, expertly designed, have created a stunning transformation, giving this patient’s upper teeth an exquisite shape and shade that’s sure to bring happiness and confidence.😁🌟 #SmileTransformation #VeneersMakeover
Two missing front upper teeth and a noticeable gap. Bridging the gap to perfection! With two veneers and professional bleaching, this patient’s smile has been transformed, creating a seamless and radiant result. #SmileEnhancement #VeneersMakeover
Achieve Your Dream Smile with Our Top-Rated Dentists in Brooklyn, NY
Welcome to Bright Smile Dental Office, your destination for a radiant smile. Explore our Gallery to witness the incredible transformations accomplished with dental veneers and laminates. We are deeply committed to delivering dental excellence and patient satisfaction, evident in every before-and-after image featured below
Our Dentist Expertise: Setting the Gold Standard
Dental veneers, also known as laminates, are ultra-thin shells meticulously crafted from premium materials. These custom veneers expertly fit over your teeth’s front surfaces. Therefore, they effectively address a wide range of cosmetic concerns. Because of that, whether you face discoloration, chips, gaps, misalignment, or worn enamel, veneers provide a versatile, highly effective solution.
Our experienced dental team, led by Dr. Vadim Khrakovsky and Dr. Vera Khrakovsky, specializes in creating veneers that not only enhance your smile but also authentically replicate the natural look of your teeth. We understand that each smile is unique, and our approach is thoughtfully tailored to ensure your veneers seamlessly harmonize with your distinctive facial features and preferences.
Experience the Bright Smile Veneers Difference
As you explore our Veneers Gallery, you’ll discover more than just beautiful smiles; you’ll witness the remarkable boost in confidence and self-esteem. Our patients’ stories serve as proof of the transformative power of personalized dental care and the artistry of veneers.
If you are considering dental veneers to elevate your smile, we invite you to schedule a consultation with our friendly, experienced team. During your visit, we’ll discuss your goals, evaluate your oral health, and collaboratively design a customized treatment plan aimed at achieving the smile you’ve always desired.
At Bright Smile Dental Office, we’re not just in the business of creating dental restorations; we’re passionately dedicated to crafting smiles that radiate confidence and happiness. Explore our gallery below, and let us be an integral part of your smile journey.
