Our Crown & Bridge Gallery

Experience dental excellence in our Crown and Bridge Gallery. Explore remarkable before-and-after transformations, showcasing the artistry and precision of our dental team. Discover the beauty of restored smiles with expertly crafted dental crowns and bridges

Visit Our Other Galleries

Before After

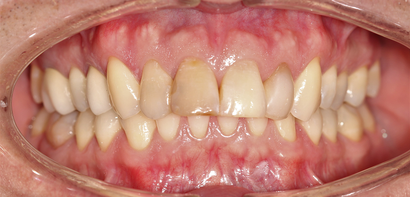
Yellowed teeth with gaps in the upper and overlap in the lower.
A harmonious smile renewal! With the addition of 8 premium lab porcelain single crowns on the top and bottom, this patient’s smile has been beautifully transformed, achieving both symmetry and radiance. 😁👑 #SmileRenovation #PorcelainCrowns

Before After
A fountain of youth for the smile! Porcelain crowns on the front and a bridge on the back have restored both the youth and beauty of this patient’s grin. A timeless transformation that radiates confidence. 😁🌟 #YouthfulSmile #PorcelainRestoration
Before After
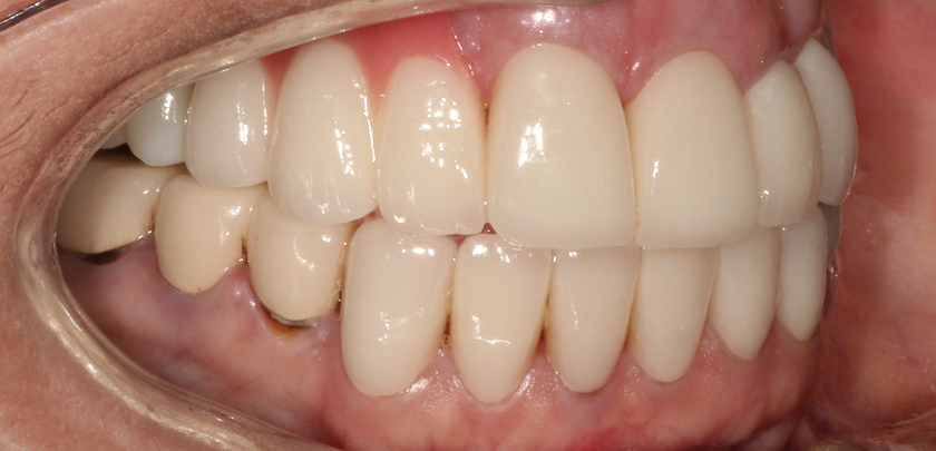
A complete transformation! A porcelain bridge and crowns have not only restored function but also delivered a smile and bite that are truly transformative, showcasing the incredible impact of comprehensive dental care. 😁👌 #SmileTransformation #PorcelainRestoration
Before After
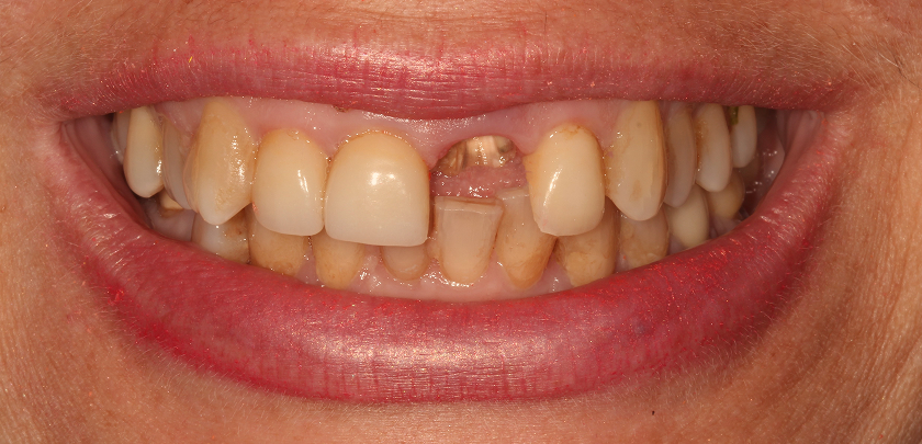
A challenging case with two missing front teeth and three teeth in poor condition.
A masterpiece of dentistry! A porcelain 5-unit bridge has restored not only the aesthetics but also the functionality of this patient’s smile, achieving a seamless and confident result. 😁🌟 #SmileRestoration #PorcelainBridge
Before After
Visible defects in the upper front teeth with one tooth missing, impacting the smile.
A flawless transformation! Through a combination of porcelain crowns and a bridge, this patient’s smile has been beautifully renewed, restoring both aesthetics and function. 😄🌟 #SmileRenewal #CosmeticDentistry
Before After
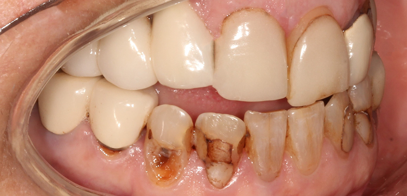
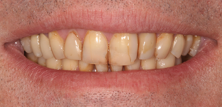
Chipped upper front teeth with noticeable yellow spots.
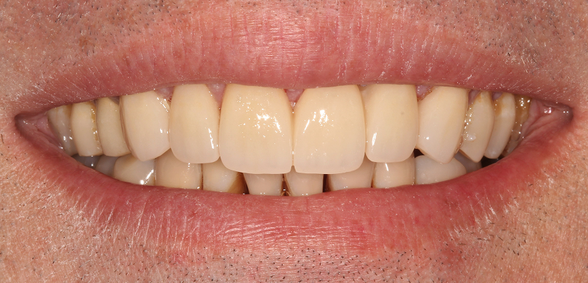
Perfection restored! Six porcelain crowns have artfully concealed the chips and removed the yellow spots, resulting in a smile that radiates confidence and flawless beauty. 😁✨ #SmileRestoration #PorcelainCrowns
Before After
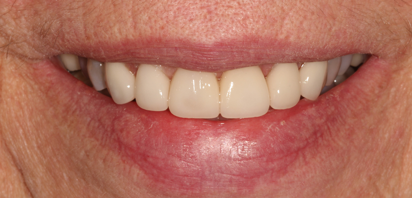
Four upper front teeth in poor color and shape.
A masterpiece of transformation! Four stunning crowns have elevated the color and shape of these teeth, creating a beautiful and harmonious smile that radiates confidence. 😁👑 #SmileTransformation #PorcelainCrowns
Before After
Front teeth that didn’t meet the patient’s satisfaction.
A smile worth celebrating! Four beautifully crafted front crowns have transformed this patient’s smile, delivering the happiness and confidence they were seeking. 😁👏 #SmileEnhancement #CosmeticDentistry
Before After
A broken front tooth creating a noticeable gap.
Seamlessly perfected! A porcelain crown was expertly crafted to match the adjacent tooth, restoring both the appearance and functionality of the smile. A perfect match and a confident grin. 😁👌 #SmileRestoration #PorcelainCrown
Before After
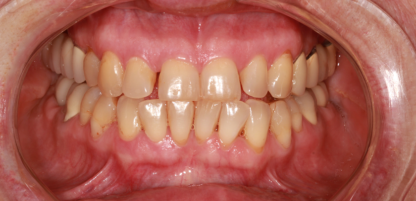
Severely broken upper teeth affecting the smile and function.
A work of art! Five porcelain crowns have beautifully restored the upper teeth, delivering both functionality and aesthetics with precision and care. Witness the power of dental craftsmanship. 😁👑 #SmileRestoration #PorcelainCrowns
At Bright Smile Dental Office, our Crown and Bridge Gallery stands as a testament to our commitment to excellence in dental care. We take immense pride in our ability to transform smiles and restore dental health through the artistry and precision of dental crowns and bridges.

Our gallery showcases

Our gallery showcases real-life before-and-after photos, illustrating the remarkable transformations that our patients have experienced. These images capture the journey from dental issues to radiant, confident smiles. Each case tells a unique story of renewal and improved oral well-being.

Our dedicated team of dental professionals, led by Dr. Vadim Khrakovsky and Dr. Vera Khrakovsky, brings a wealth of experience and expertise to the field of restorative dentistry. We believe in a patient-centric approach, where personalized care and attention to detail are paramount. Our goal is to not only enhance smiles but also improve the quality of life for our patients.

Dental crowns and bridges are versatile solutions that address a range of dental concerns, from damaged or missing teeth to cosmetic enhancements. Our expertly crafted restorations not only look natural but also provide long-lasting durability.
As you explore our Crown and Bridge Gallery, we hope you gain insight into the possibilities of dental transformation. We invite you to reach out to our friendly team to learn more about our services and how we can help you achieve your dental goals. At Bright Smile Dental Office, your smile is our passion, and your dental health is our priority. As you explore our Crown and Bridge Gallery, you’ll witness the transformative power of our dental solutions, restoring not just smiles but also confidence and oral health.