Home > Invisalign
Invisalign
Get Your Free Invisalign Pricing and Information Guide
Complete the form , and we’ll send you the guide along with a detailed information on Invisalign Treatment
Invisalign
Invisalign clear aligners are removable and virtually invisible, so you can keep living your life and caring for your teeth throughout treatment the same way you always have. From simple straightening to bigger fixes. Is Invisalign treatment right for you? For many people, the answer is yes. Whether you just want to love your smile a little more, you think you’ve got a particularly tough case, or you’re a teen and your teeth are still growing in, ask our doctor what Invisalign treatment can do for you.
The Benefits of Clear Aligners
Welcome to Bright Smile Dental Office, where we’re dedicated to enhancing your smile and overall well-being through innovative dental solutions. When it comes to achieving a straighter, more confident smile, Invisalign stands out as a revolutionary option. Let’s explore the benefits of Invisalign that can transform your smile and your life.
Discreet Appearance
One of the most remarkable advantages of Invisalign is its virtually invisible nature. The clear aligners are custom-made to fit snugly over your teeth, making them barely noticeable. This discreet treatment option allows you to straighten your teeth with confidence, without the self-consciousness that traditional braces might bring.
01
Comfortable Fit
Invisalign aligners are crafted using advanced technology to ensure a comfortable and precise fit. The smooth, BPA-free plastic material eliminates the irritation and potential discomfort often associated with traditional braces’ metal wires and brackets. You can comfortably wear your aligners for the recommended 20-22 hours a day, effectively progressing towards your desired smile.
02
Removable Convenience
Unlike traditional braces that are fixed to your teeth, Invisalign aligners are removable. This feature provides you the flexibility to enjoy your favorite foods without restrictions and to maintain your regular oral hygiene routine with ease. Simply remove the aligners to eat, brush, and floss, then pop them back in when you’re done.
03
Customized Treatment
Every smile is unique, and so is every Invisalign treatment plan. Your journey begins with a detailed assessment by our experienced dental professionals. Using advanced digital scanning technology, we create a 3D model of your teeth, allowing us to map out a personalized treatment plan that will guide your teeth into their desired positions.
04
Predictable Progress
Invisalign utilizes cutting-edge software that visualizes your treatment journey from start to finish. Before you even begin wearing your aligners, you’ll have an idea of how your smile will transform throughout the process. This predictability gives you a clear vision of your goal and a timeline for achieving it.
05
Fewer Dental Visits
Invisalign’s innovative approach reduces the number of in-person visits required compared to traditional braces. You’ll receive multiple sets of aligners at each appointment, each set designed to gradually shift your teeth. This means fewer interruptions to your busy schedule.
06
Effective for Various Cases
Invisalign is not limited to simple orthodontic cases. It can effectively address a wide range of dental issues, including crowding, spacing, overbites, underbites, and crossbites. Our experienced dental professionals at Bright Smile Dental Office will determine if Invisalign is the right solution for your specific needs.
07
Boosted Confidence
A beautiful smile has the power to boost your confidence and enhance your overall quality of life. Invisalign allows you to improve the alignment of your teeth while maintaining your natural appearance, leading to a smile you’ll be proud to share with the world.
08
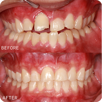
Amazing Results for out Patients
