Home > Gallery Full Mouth Reconstruction
Gallery Full Mouth Reconstruction
Visit Our Other Galleries
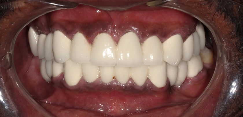
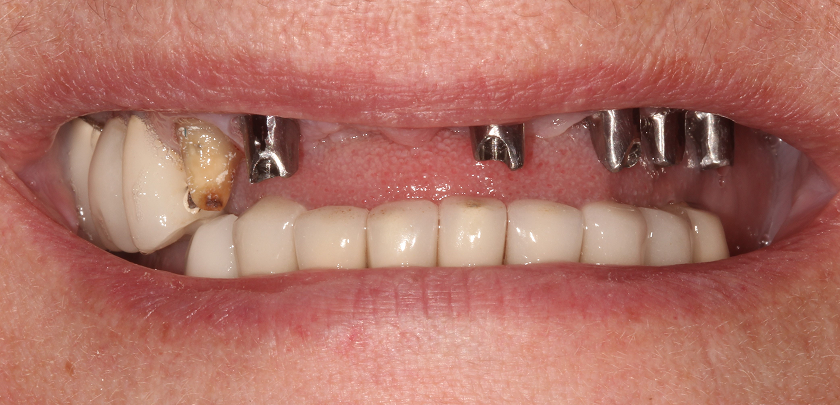
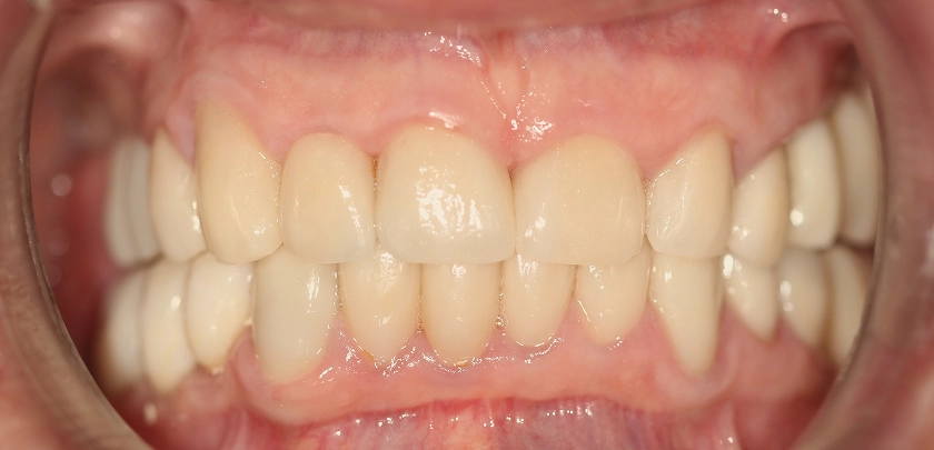
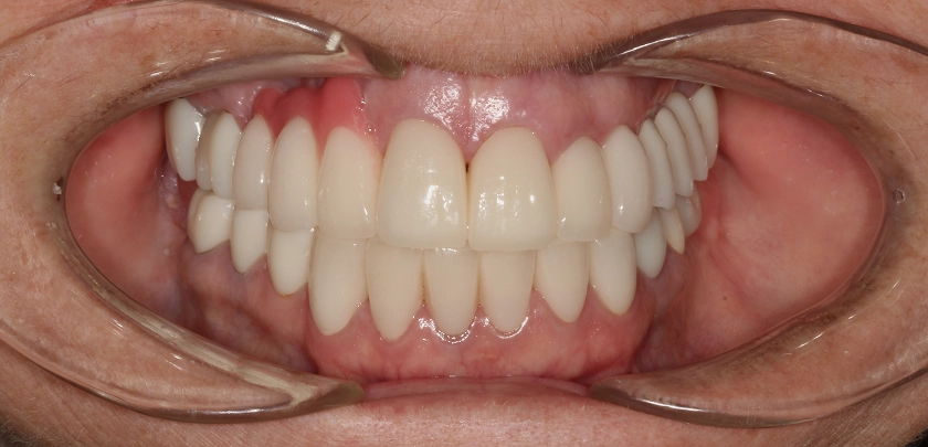
A symphony of transformation! Eight strategically placed implants at the back and six porcelain crowns on top have not only restored functionality but also closed gaps and brightened the entire smile. Witness the magic of comprehensive dental care. 😁🌟 #SmileRejuvenation #ImplantsandPorcelainCrowns
A remarkable dental rebirth! Following the extraction of all teeth, the placement of 8 top and 6 bottom implants, and full reconstruction with porcelain, this patient has a completely renewed smile, showcasing the life-changing possibilities of comprehensive dental care. 😁🌟 #DentalReconstruction #ImplantsandPorcelain
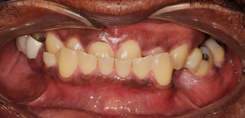
A complex dental situation with missing teeth, deteriorated teeth, and noticeable gaps.
The ultimate smile makeover! Six strategically placed implants, combined with porcelain single crowns and bridges, have completely rejuvenated this patient’s smile, achieving both functionality and aesthetics with remarkable precision. 😁🌟 #SmileReconstruction #ImplantsandPorcelain
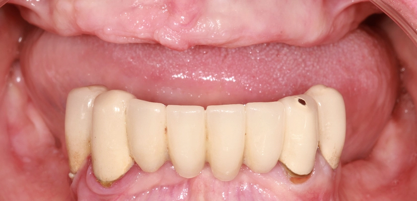
A challenging case with no upper teeth and lower teeth that needed extraction.
A life-changing transformation! Full mouth restoration with 8 implants on top and 6 on the bottom has given this patient a reason to smile again. Witness the remarkable power of modern dentistry. 😁🌟 #FullMouthRestoration #ImplantSuccess
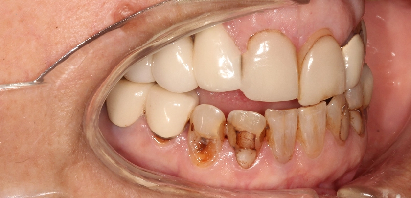
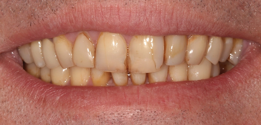
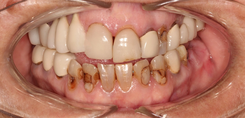
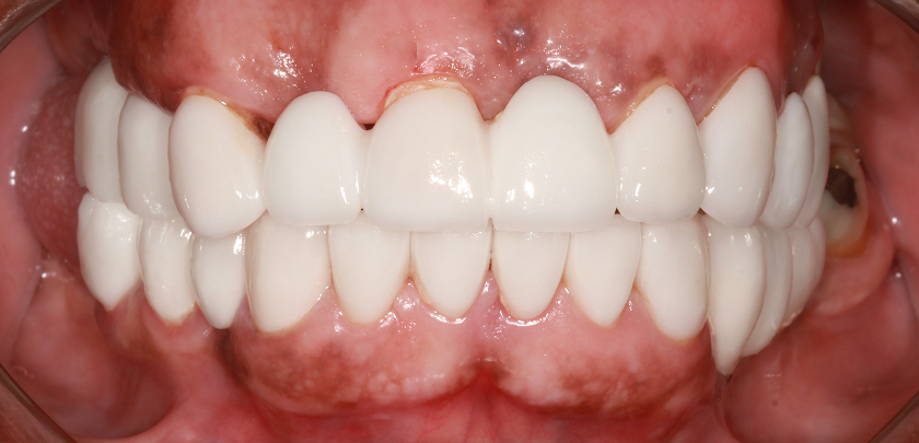
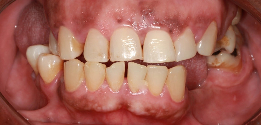
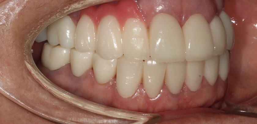
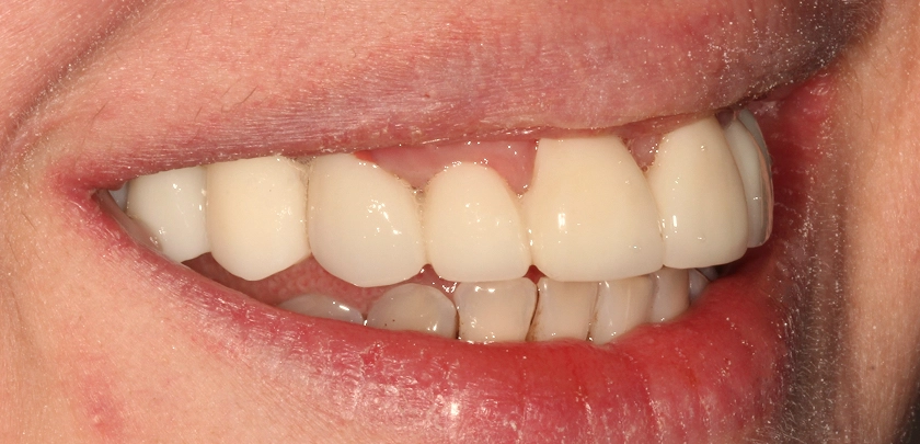
A complex case with missing, broken teeth, and malocclusion.
A symphony of transformation! A full mouth reconstruction with 12 porcelain crowns on top and 12 on the bottom has brought this patient’s smile back to harmony, combining aesthetics and function for a confident new beginning. 😁🌟 #SmileSymphony #PorcelainCrowns
A remarkable patient at 91 years old, facing challenges of missing back teeth and noticeable gaps between the front teeth.
Age is just a number, and this smile is timeless! Eight strategically placed implants with crowns for the back teeth, along with cosmetic crowns for the front teeth, have completely transformed this smile. Proof that a healthy, radiant smile knows no age limits. 😁🌟 #AgelessSmile #DentalTransformation
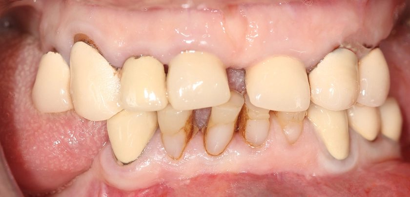
A comprehensive case requiring full mouth reconstruction, with issues ranging from missing teeth to gum concerns.
A masterpiece of dental artistry! Full mouth reconstruction involving implants, single crowns, bridges, and gingivectomy has transformed this smile into a work of beauty, health, and confidence. 😁🌟 #SmileMasterpiece #FullMouthReconstruction
