Home > Teeth Whitening Gallery
Teeth Whitening Gallery
Bright Smile Dental Office: Brooklyn's Destination for Dazzling Smiles
In the heart of Brooklyn, Bright Smile Dental Office stands as a beacon for those seeking the pinnacle of dental aesthetics. Since 1992, our doors have welcomed countless individuals, all in pursuit of one common goal: a radiant smile. If you’ve been searching for “teeth whitening near me,” you’ve found your answer.
Our Teeth Whitening Gallery
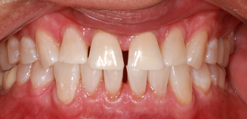
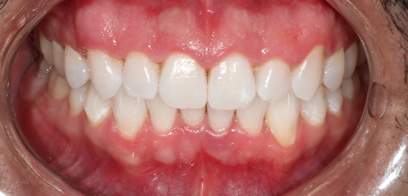
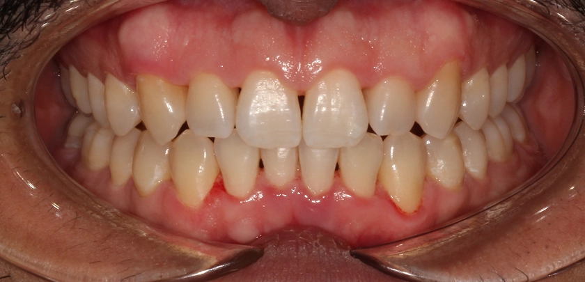
Yellowed teeth, affecting the patient’s smile.
A stunning transformation! Professional bleaching has restored the natural brightness to this smile, giving the patient newfound confidence with a brilliantly white and radiant set of teeth. 😁✨ #TeethWhitening #ConfidentSmile
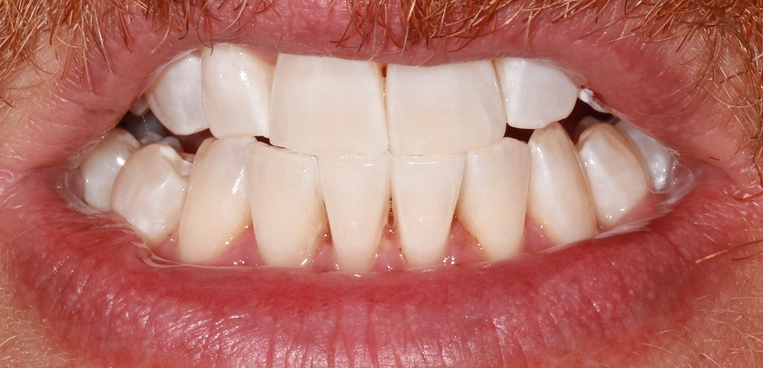
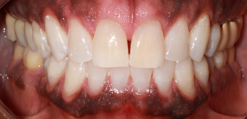
Already beautiful teeth, but the patient desired a brighter smile.
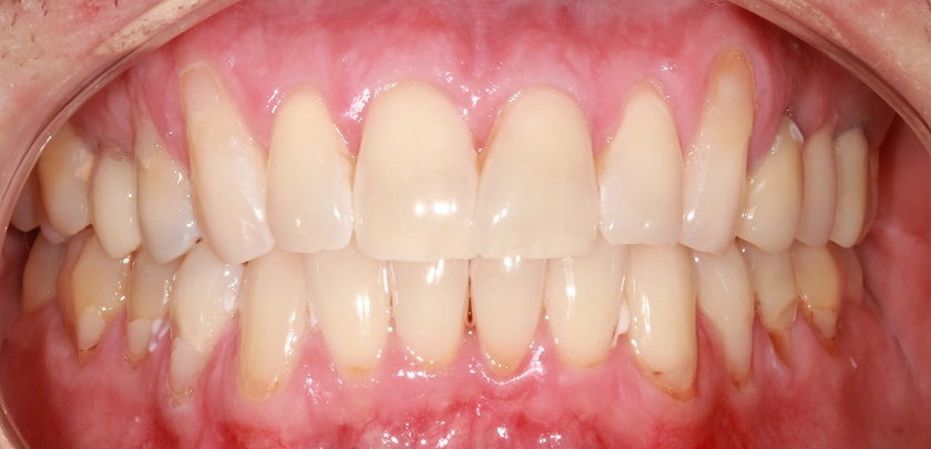
Elevating beauty to brilliance! Professional teeth bleaching has enhanced the patient’s already stunning smile, showcasing the transformative power of teeth whitening for a radiant, confident grin. 😁✨ #TeethWhitening #SmileEnhancement
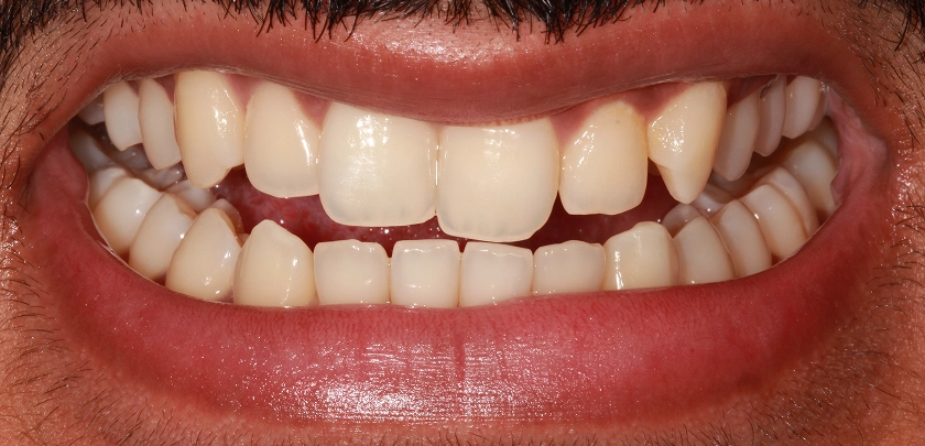
A patient in need of serious dental care.
Instant transformation! In just one day, a thorough cleaning and professional bleaching have revitalized this smile, revealing a brighter, cleaner, and more radiant set of teeth. 🌟😁 #OneDaySmileRenewal #TeethCleaning #TeethWhitening
Yellowed teeth impacting the patient’s smile.
A bright and brilliant change! Professional teeth bleaching has banished the yellow stains, leaving this patient with a dazzling, confident smile. 😁✨ #TeethWhitening #BrightSmile
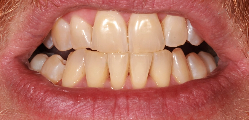
Teeth showing signs of discoloration.
Pure brilliance! Professional bleaching has achieved another perfect result, unveiling a dazzling, white smile that’s sure to inspire confidence. 😁🌟 #TeethWhitening #PerfectSmile
Years of enjoying coffee and the natural effects of aging led to darker teeth.
A radiant revival! Professional teeth bleaching has effectively erased the discoloration, revealing a brighter, more youthful smile. Age may darken teeth, but modern dentistry can bring back their natural brilliance. 😁🌟 #AgelessSmile #TeethWhiteningSuccess
Yellowed teeth affecting the patient’s smile.
A stunning transformation! Professional teeth bleaching has erased the yellow discoloration, leaving this patient with a radiant, confident smile. 😁✨ #TeethWhitening #BrighterSmile
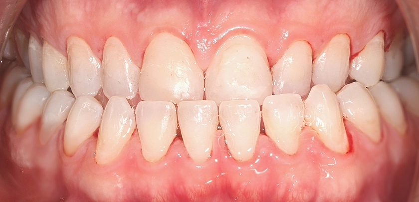
Teeth in need of a refresh.
Perfection achieved! Professional teeth bleaching has delivered flawless results, leaving this smile with a stunning, radiant transformation. 😁🌟 #TeethWhitening #PerfectSmile
Radiance and confidence unlocked! Professional bleaching has illuminated this smile, unveiling its true brilliance and giving the patient an extra dose of self-assurance. 😁🌟 #ConfidentSmile #TeethWhiteningSuccess
Why Our Teeth Whitening Services Stand Out
Firstly, our track record speaks volumes. Over the decades, we’ve transformed numerous smiles, each reflecting our unwavering commitment to excellence. Moreover, our gallery isn’t just a showcase; it’s a testament to the trust our patients place in us.
Secondly, in the ever-evolving world of dental technology, we pride ourselves on staying ahead. Whether you’re familiar with trending methods like snow teeth whitening or are just beginning to explore cosmetic dentistry, we’re here to guide you. Our approach isn’t one-size-fits-all; it’s bespoke, tailored to your unique needs.
The Bright Smile Signature Procedure
One of the secrets behind our stunning transformations is our signature teeth whitening procedure. As a result, this specialized approach, perfected over years, ensures not only immediate brilliance but also long-lasting results. With our signature procedure, you’re not just getting whiter teeth; you’re investing in a smile that stands the test of time.
Now, let’s talk about our team. Led by Dr. Vadim Khrakovsky and Dr. Vera Khrakovsky, our professionals bring a blend of experience, passion, and meticulous attention to detail. In fact, with them, you’re not just getting a treatment; you’re embarking on a transformative journey.
The Bright Smile Difference
What sets us apart? For starters, our dedication. We believe that teeth whitening isn’t just a procedure; it’s an art. And like all artists, we’re perfectionists. We aim not just for good results, but for the best teeth whitening experience you can find.
Additionally, our location is strategic. Nestled in Brooklyn, we’re both accessible and convenient. So, the next time you think of “teeth whitening near me,” remember we’re just around the corner.
In conclusion, a brighter, more confident smile awaits you at Bright Smile Dental Office. Dive into our gallery, witness the transformations, and imagine the possibilities for your smile. Ready to take the next step? We’re here, eager to be a part of your journey.
